Hémothorax : tout comprendre sur cette urgence médicale
Par CROQ Santé
Publié le
Sommaire
L’hémothorax est une accumulation de sang dans la cavité pleurale, l’espace situé entre les deux membranes entourant les poumons. Ce phénomène peut entraîner une détresse respiratoire grave et nécessite une prise en charge médicale rapide. Voici ce qu’il faut savoir.
Qu’est-ce qu’un hémothorax ?
L’hémothorax se définit par la présence de sang dans l’espace pleural, habituellement vide ou occupé par une mince couche de liquide lubrifiant. Cet excès de sang comprime les poumons et peut nuire à la respiration.
Causes fréquentes
Traumatismes thoraciques : chocs violents (accidents de la route, chutes, coups) ou plaies pénétrantes (couteaux, balles).
Interventions chirurgicales ou médicales : complications post-opératoires thoraciques, pose de cathéters, biopsies pulmonaires.
Rupture d’un vaisseau sanguin (anévrisme, malformation).
Tumeurs ou cancers thoraciques.
Troubles de la coagulation ou traitement anticoagulant.
Symptômes de l’hémothorax
Les signes varient selon la gravité mais peuvent inclure :
Douleur thoracique aiguë
Essoufflement rapide
Sensation d’oppression dans la poitrine
Toux, parfois avec du sang
Cyanose (coloration bleutée de la peau)
Fatigue intense, vertiges, voire perte de conscience en cas d’hémorragie massive
Diagnostic
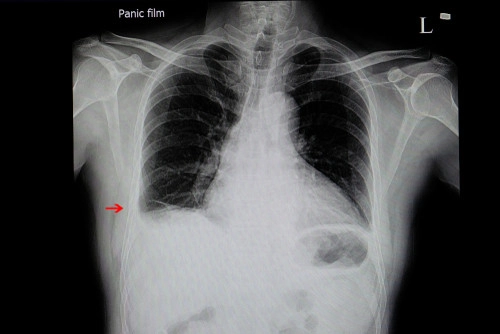
L’hémothorax est suspecté cliniquement et confirmé par imagerie :
Radiographie thoracique : révèle l’opacité liée à la présence de sang
Échographie thoracique : rapide et utile en urgence
Scanner thoracique (CT-scan) : évalue l’ampleur de l’hémorragie et l’éventuelle cause
Traitement
Le traitement dépend de la quantité de sang et de l’état du patient :
1. Drainage thoracique
Un tube est inséré entre les côtes pour évacuer le sang et permettre au poumon de se réexpandre. C’est la première étape dans la majorité des cas.
2. Chirurgie
En cas d’hémorragie persistante ou massive (hémothorax "massif"), une intervention chirurgicale peut être nécessaire pour stopper le saignement.
3. Transfusion et réanimation
Si la perte de sang est importante, des transfusions sanguines et une prise en charge en soins intensifs peuvent être nécessaires.
Complications possibles
Infection de la cavité pleurale (empième)
Fibrose pleurale empêchant l’expansion du poumon
Choc hémorragique en cas de perte de sang sévère
Récidive de l’hémothorax
Pronostic
Le pronostic dépend de la cause, de la rapidité de la prise en charge et du volume sanguin perdu. Une intervention rapide permet généralement une récupération complète, surtout dans les cas non compliqués.
Questions fréquentes
Un hémothorax correspond à la présence de sang dans l'espace pleural, ce qui comprime les poumons et peut perturber la respiration normale.
L'hémothorax survient généralement à la suite de traumatismes thoraciques tels que les accidents ou blessures pénétrantes, d'interventions médicales ou chirurgicales, de ruptures de vaisseaux sanguins, de tumeurs thoraciques ou de troubles de la coagulation.
Les signes peuvent inclure une douleur thoracique aiguë, un essoufflement soudain, une sensation d'oppression dans la poitrine, une toux parfois avec du sang, une coloration bleutée de la peau, une fatigue intense, voire des vertiges ou une perte de conscience en cas d'hémorragie importante.
Le diagnostic repose sur l'examen clinique confirmé par des examens d'imagerie tels que la radiographie thoracique, l'échographie thoracique en urgence, et le scanner thoracique qui évalue aussi la cause de l'hémorragie.
Le traitement principal est un drainage thoracique pour évacuer le sang, complété parfois par une chirurgie en cas d'hémorragie sévère. Des transfusions sanguines et une prise en charge en soins intensifs peuvent être nécessaires selon la gravité.
Les informations diffusées sur les articles, notamment celles relatives à la santé, au bien-être ou à la nutrition, sont fournies à titre indicatif et ne constituent en aucun cas un diagnostic, un traitement ou une prescription médicale. L'utilisateur est invité à consulter un médecin ou un professionnel de santé qualifié pour toute question relative à son état de santé.
Donnez-nous votre avis !
Envoyer mon avisMerci pour votre retour.


